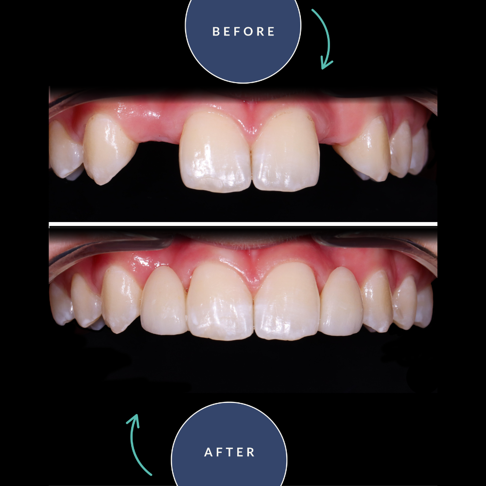
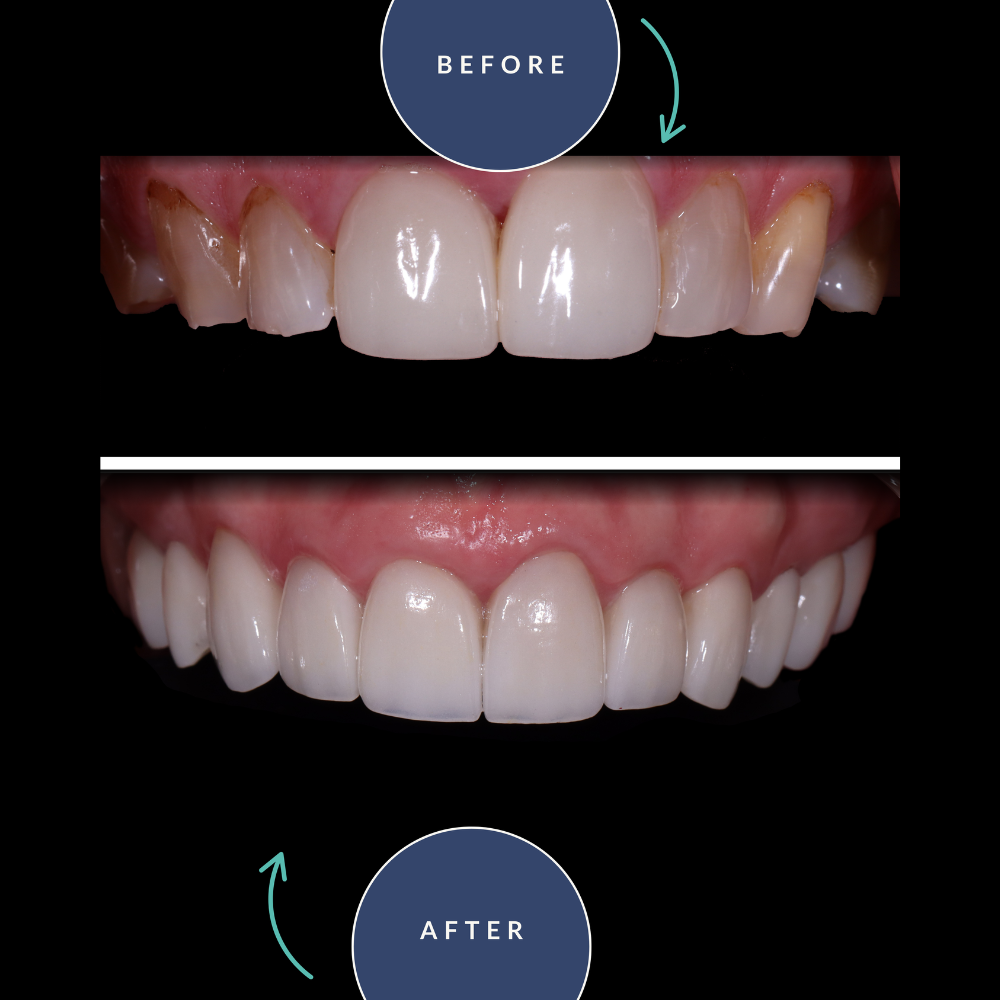
Explore the inspiring smile stories shared by our happy patients. Discover the transformative journeys and the joy that comes with a beautiful smile.

Real smiles, real stories. Hear what our happy patients have to say.
.png)
Rebecca M
Patient
Racquel B
Patient
Matt M
Patient
.png)
Jack R
Patient
Kimberly R
Patient
.png)
Ruchir S
Patient
Thomas R
Patient